Utrata zębów, niezależnie od przyczyny, może znacząco wpłynąć na jakość życia. Problemy z gryzieniem, żuciem, a także estetyka uśmiechu to tylko niektóre z konsekwencji. Na szczęście współczesna stomatologia oferuje rozwiązania, które pozwalają na skuteczne i trwałe odtworzenie brakujących zębów. Jednym z najnowocześniejszych i najbardziej cenionych przez pacjentów rozwiązań są implanty zębów. Warszawa, jako stolica Polski, oferuje szeroki dostęp do wysokiej klasy specjalistów i nowoczesnych klinik stomatologicznych, gdzie można przeprowadzić zabiegi implantacji na najwyższym poziomie. Ten artykuł ma na celu przybliżenie tematyki implantów zębów, omówienie procesu leczenia, korzyści płynących z zastosowania tej metody, a także wskazanie, na co zwrócić uwagę przy wyborze kliniki w stolicy.
Proces utraty zębów może być spowodowany różnymi czynnikami, od urazów mechanicznych, przez choroby przyzębia, aż po próchnicę czy wady wrodzone. Niezależnie od przyczyny, brak nawet jednego zęba może prowadzić do szeregu negatywnych zjawisk. Sąsiednie zęby mogą zacząć się przesuwać, przechylać w stronę luki, co prowadzi do zaburzeń zgryzu. Kość szczęki lub żuchwy w miejscu utraconego zęba zaczyna zanikać, ponieważ nie jest już stymulowana przez korzeń. Prowadzi to do zmiany rysów twarzy, zapadnięcia policzków i ogólnego postarzenia wyglądu. Implanty zębów stanowią idealne rozwiązanie, które nie tylko odtwarza funkcjonalność utraconego zęba, ale również zapobiega dalszym negatywnym zmianom w jamie ustnej i strukturze kości. W Warszawie można znaleźć wielu doświadczonych implantologów, którzy pomogą dobrać najlepsze rozwiązanie dla indywidualnych potrzeb pacjenta.
Decyzja o wszczepieniu implantów zębów to inwestycja w zdrowie i estetykę uśmiechu na długie lata. Warto poświęcić czas na dogłębne zapoznanie się z tematem i wybór miejsca, które zapewni najwyższy standard opieki. W stolicy, dzięki dużej konkurencji, pacjenci mają możliwość wyboru spośród wielu renomowanych placówek, które oferują kompleksowe leczenie implantologiczne, od diagnostyki po finalne uzupełnienie protetyczne. Kluczowe jest, aby wybrać gabinet, w którym pracuje zespół doświadczonych specjalistów, posiadających odpowiednie kwalifikacje i stosujących nowoczesne technologie.
Dlaczego warto rozważyć implanty zębów w Warszawie
Wybór Warszawy jako miejsca do przeprowadzenia zabiegu implantacji zębów jest strategiczną decyzją, która otwiera drzwi do świata nowoczesnej stomatologii. Stolica Polski skupia w sobie najnowocześniejsze kliniki, które dysponują zaawansowanym sprzętem diagnostycznym i terapeutycznym, a także zatrudniają wykwalifikowanych specjalistów z wieloletnim doświadczeniem w dziedzinie implantologii. Dostęp do najnowszych technologii, takich jak tomografia komputerowa 3D (CBCT), która pozwala na precyzyjne zaplanowanie zabiegu, czy nowoczesne systemy CAD/CAM do projektowania i wykonywania uzupełnień protetycznych, znacząco podnosi bezpieczeństwo i skuteczność leczenia. Ponadto, warszawskie kliniki często oferują szeroki wachlarz dostępnych systemów implantologicznych, co pozwala na dopasowanie rozwiązania do indywidualnych potrzeb i możliwości finansowych pacjenta.
Kluczowym aspektem, który przemawia za wyborem implantów zębów w Warszawie, jest wysoki poziom specjalizacji lekarzy. Wielu implantologów w stolicy nie tylko posiada certyfikaty potwierdzające ich umiejętności, ale również aktywnie uczestniczy w międzynarodowych szkoleniach i konferencjach, śledząc na bieżąco najnowsze osiągnięcia w dziedzinie stomatologii. To gwarantuje, że pacjenci otrzymują opiekę opartą na najnowszej wiedzy medycznej i sprawdzonych procedurach. Możliwość konsultacji z różnymi specjalistami, takimi jak chirurdzy szczękowo-twarzowi, protetycy czy periodontolodzy, w ramach jednej placówki, zapewnia kompleksowe podejście do leczenia i rozwiązanie nawet najbardziej skomplikowanych przypadków. Pacjent ma pewność, że każdy etap leczenia, od planowania po finalne uzupełnienie, jest realizowany przez ekspertów w swojej dziedzinie.
Kolejnym istotnym czynnikiem jest dostępność różnorodnych metod leczenia i materiałów. Wiodące kliniki w Warszawie oferują implanty wykonane z najwyższej jakości materiałów, takich jak tytan klasy medycznej, który jest biokompatybilny i doskonale integruje się z tkanką kostną. Dostępne są również implanty o różnej długości i średnicy, co pozwala na zastosowanie ich w różnych warunkach kostnych. Ponadto, wiele placówek oferuje zaawansowane techniki augmentacji kości, które umożliwiają przeprowadzenie implantacji nawet u pacjentów z niedostateczną ilością tkanki kostnej, co wcześniej mogło stanowić przeciwwskazanie do leczenia. Decydując się na implanty zębów w Warszawie, pacjent zyskuje pewność, że otrzyma leczenie na najwyższym światowym poziomie, dostosowane do jego indywidualnych potrzeb.
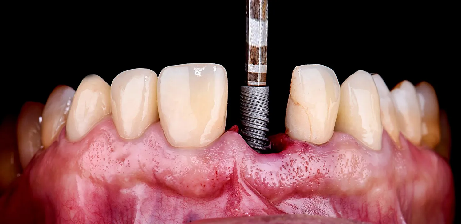
Jak wygląda proces wszczepienia implantów zębów w Warszawie

Kolejnym etapem jest właściwa implantacja chirurgiczna. Zabieg odbywa się zazwyczaj w znieczuleniu miejscowym, co sprawia, że jest on bezbolesny. W niektórych przypadkach, szczególnie przy rozległych zabiegach lub u pacjentów odczuwających silny lęk, możliwe jest zastosowanie sedacji lub nawet znieczulenia ogólnego. Po przygotowaniu pola operacyjnego i zastosowaniu znieczulenia, lekarz wykonuje precyzyjne nacięcie dziąsła, odsłaniając kość. Następnie, za pomocą specjalistycznych wierteł, przygotowuje w kości łoże dla implantu. Precyzja jest tutaj kluczowa, aby zapewnić właściwe umiejscowienie implantu i jego stabilność pierwotną. Po przygotowaniu łoża, implant, który wygląda jak niewielka śruba wykonana zazwyczaj z tytanu, jest delikatnie wkręcany w kość. Po umieszczeniu implantu, nacięcie dziąsła jest zaszywane. Cały zabieg chirurgiczny, w zależności od liczby implantów i warunków anatomicznych, trwa zazwyczaj od kilkudziesięciu minut do kilku godzin.
Po zabiegu chirurgicznym następuje okres gojenia i osteointegracji, czyli procesu zrastania się implantu z kością. Ten etap jest kluczowy dla trwałości i stabilności przyszłego uzupełnienia protetycznego. Czas osteointegracji jest indywidualny i zazwyczaj trwa od 3 do 6 miesięcy, choć w niektórych przypadkach może być dłuższy. W tym czasie pacjent może nosić tymczasowe uzupełnienie protetyczne, aby zachować estetykę uśmiechu. Po zakończeniu osteointegracji, na implant nakręca się śrubę gojącą, która kształtuje dziąsło wokół przyszłego zęba. Następnie, po kilku tygodniach, śruba gojąca jest usuwana, a na jej miejsce przykręcany jest łącznik protetyczny, który będzie podstawą dla docelowej korony protetycznej. Ostatnim etapem jest wykonanie i zamocowanie korony protetycznej, która jest indywidualnie dopasowana pod względem koloru, kształtu i wielkości do pozostałych zębów pacjenta. Kliniki w Warszawie oferują różne rodzaje koron, od porcelanowych po pełnoceramiczne, zapewniając naturalny wygląd i funkcjonalność uzupełnienia.
Jak wybrać odpowiednią klinikę implantologiczną w Warszawie
Wybór odpowiedniej kliniki implantologicznej w Warszawie to kluczowy krok, który determinuje sukces całego leczenia. Przy tak istotnej decyzji, jaką jest wszczepienie implantów zębów, warto kierować się kilkoma zasadami, aby mieć pewność, że trafiamy w ręce profesjonalistów, którzy zapewnią nam bezpieczeństwo i najlepsze możliwe rezultaty. Przede wszystkim należy zwrócić uwagę na doświadczenie i kwalifikacje zespołu lekarskiego. Sprawdzenie, czy lekarze posiadają odpowiednie certyfikaty i ukończyli specjalistyczne kursy z zakresu implantologii, jest absolutnie kluczowe. Warto poszukać informacji o lekarzach na stronach internetowych klinik, a także poszukać opinii pacjentów na niezależnych portalach. Kliniki godne zaufania chętnie dzielą się informacjami o swoich specjalistach.
Kolejnym ważnym kryterium jest dostęp do nowoczesnego sprzętu diagnostycznego i terapeutycznego. Jak wspomniano wcześniej, diagnostyka radiologiczna, zwłaszcza tomografia komputerowa 3D (CBCT), jest niezbędna do precyzyjnego zaplanowania zabiegu. Klinika, która inwestuje w nowoczesne technologie, pokazuje, że stawia na bezpieczeństwo i skuteczność leczenia. Warto również zwrócić uwagę na stosowane systemy implantologiczne. Renomowane placówki oferują implanty sprawdzonych, renomowanych producentów, które charakteryzują się wysoką jakością, biokompatybilnością i długą gwarancją. Nie należy kierować się wyłącznie ceną – tanie implanty, często nieznanego pochodzenia, mogą stanowić ryzyko dla zdrowia i nie zapewnić oczekiwanej trwałości.
Koniecznie należy zwrócić uwagę na podejście kliniki do pacjenta i sposób komunikacji. Dobra klinika zapewnia kompleksową opiekę, zaczynając od szczegółowej konsultacji, podczas której lekarz odpowiada na wszystkie pytania pacjenta, omawia plan leczenia, możliwe ryzyka i alternatywne metody. Ważne jest, aby pacjent czuł się zaopiekowany i miał możliwość podjęcia świadomej decyzji. Zapoznanie się z ofertą, cennikiem oraz warunkami gwarancji jest również istotne. Warto porównać oferty kilku klinik, zwracając uwagę nie tylko na cenę, ale przede wszystkim na zakres usług, jakość materiałów i doświadczenie personelu. Pamiętaj, że implanty zębów to inwestycja na całe życie, dlatego wybór kliniki powinien być przemyślany i oparty na rzetelnych informacjach.
Korzyści płynące z zastosowania implantów zębów dla zdrowia
Implanty zębów to nie tylko rozwiązanie estetyczne, ale przede wszystkim funkcjonalne i zdrowotne. Jedną z najważniejszych korzyści jest przywrócenie pełnej funkcji żucia. Utrata zębów, nawet pojedynczych, może prowadzić do trudności w gryzieniu i przeżuwaniu pokarmów, co wpływa na jakość spożywanych posiłków i może prowadzić do problemów trawiennych. Implanty, poprzez odbudowę stabilnego filaru dla korony protetycznej, pozwalają na powrót do komfortowego spożywania ulubionych potraw bez ograniczeń.
Kolejną kluczową zaletą implantów jest zapobieganie zanikowi kości. Korzeń naturalnego zęba, poprzez stymulację tkanki kostnej podczas gryzienia, zapobiega jej resorpcji. Po utracie zęba ta stymulacja ustaje, co prowadzi do stopniowego zaniku kości szczęki lub żuchwy. Implant stomatologiczny, wszczepiony w miejsce utraconego korzenia, pełni podobną funkcję. Przenosi siły żucia na kość, dzięki czemu stymuluje jej odbudowę i zapobiega dalszemu zanikowi. Jest to niezwykle ważne nie tylko dla utrzymania stabilności implantu, ale także dla zachowania rysów twarzy i zapobiegania zapadaniu się policzków, co jest często widocznym skutkiem długotrwałego bezzębia.
Implanty zębów w naturalny sposób odtwarzają wygląd i funkcję naturalnych zębów, co przekłada się na znaczną poprawę jakości życia. Pacjenci odzyskują pewność siebie, mogą swobodnie się uśmiechać, rozmawiać i jeść, nie martwiąc się o stabilność protez czy widoczne braki w uzębieniu. W przeciwieństwie do tradycyjnych protez ruchomych, implanty są stałym uzupełnieniem, które nie wymaga wyjmowania na noc, nie przesuwa się podczas jedzenia i nie powoduje podrażnień błony śluzowej. Dbanie o implanty jest podobne do dbania o naturalne zęby – wymaga regularnego szczotkowania, nitkowania i wizyt kontrolnych u stomatologa. Długoterminowe badania pokazują, że implanty zębów, przy odpowiedniej higienie i pielęgnacji, mogą służyć pacjentom przez wiele lat, a nawet przez całe życie, stanowiąc inwestycję w zdrowie jamy ustnej i ogólne samopoczucie.
Pielęgnacja i konserwacja implantów zębów po zabiegu
Po skutecznym wszczepieniu implantów zębów w Warszawie i zakończeniu leczenia protetycznego, kluczowe jest odpowiednie dbanie o nowe uzupełnienia, aby zapewnić ich długowieczność i zachować zdrowie jamy ustnej. Podstawą jest codzienna, dokładna higiena, która powinna być nawet bardziej skrupulatna niż w przypadku naturalnych zębów. Należy regularnie szczotkować implanty oraz otaczające je tkanki miękkie, najlepiej przy użyciu miękkiej szczoteczki do zębów i pasty z fluorem. Szczególną uwagę należy poświęcić przestrzeniom między implantem a dziąsłem oraz między implantem a sąsiadującymi zębami, gdzie mogą gromadzić się resztki pokarmu i bakterie.
Ważnym elementem codziennej higieny jest również stosowanie nici dentystycznej lub specjalistycznych szczoteczek międzyzębowych (interdentalnych). Pozwalają one na dotarcie do trudno dostępnych miejsc i skuteczne usunięcie płytki bakteryjnej. W niektórych przypadkach lekarz stomatolog może zalecić stosowanie irygatora do jamy ustnej, który za pomocą strumienia wody pomaga wypłukać resztki pokarmu i oczyścić przestrzenie wokół implantów. Regularne płukanie jamy ustnej płynami antybakteryjnymi, zaleconymi przez lekarza, może również wspomagać utrzymanie odpowiedniej higieny i zapobiegać stanom zapalnym.
Niezwykle istotne są również regularne wizyty kontrolne u stomatologa, zazwyczaj co 6 miesięcy. Podczas takich wizyt lekarz ocenia stan implantów, bada stan dziąseł i kości wokół nich, sprawdza stabilność uzupełnienia protetycznego oraz wykonuje profesjonalne czyszczenie. Wczesne wykrycie ewentualnych problemów, takich jak zapalenie tkanek okołowszczepowych (peri-implantitis), pozwala na szybkie wdrożenie leczenia i zapobiega poważniejszym komplikacjom. Stomatolog może również udzielić pacjentowi indywidualnych wskazówek dotyczących higieny oraz zalecić odpowiednie preparaty do pielęgnacji. Odpowiednia higiena i regularne kontrole są gwarancją długotrwałego sukcesu leczenia implantologicznego i zdrowego, pięknego uśmiechu na lata.





